11月28日,骨卫士第十期病例讨论会围绕“PCL胫骨止点撕脱性骨折”病例,在骨卫士专家委员会秘书处的精心部署下成功展开。


病 例 资 料
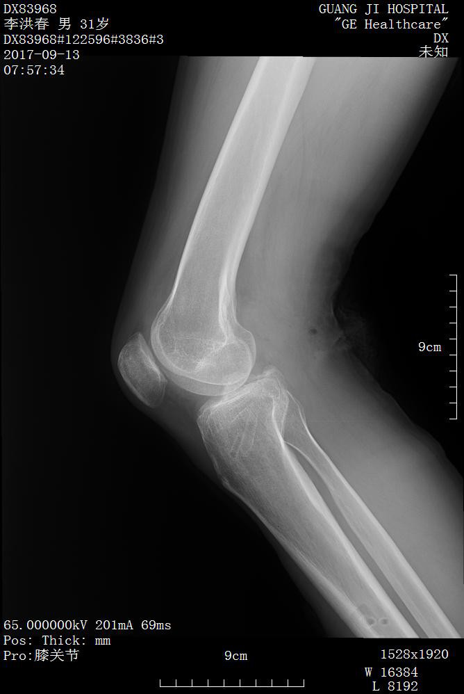
患者,男,30岁
主诉:车祸致右髋、膝、右小腿肿痛,畸形,活动受限2小时
入院查体:T:36.6℃,P:86次/分,R:19次/分,BP:130/90mmHg。
神清,急性痛苦面容,右髋部肿胀畸形,明显压痛,右髋部弹性固定,右髋关节屈髋、短缩畸形;活动障碍,右膝部肿胀,局部压痛明显,右膝活动受限,右小腿中下段肿胀畸形,皮肤可见明显瘀斑,压痛,可触及明显骨擦感,纵轴叩击痛(+),右小腿活动受限;右髋“4”字症无法完成,骨盆挤压试验(-),右膝浮髌试验(+),内侧应力试验(+),外侧应力试验(-),前抽屉试验(-),后抽屉试验(+),右足背动脉搏动正常,右足感觉正常
影像资料如下:







诊断:
1.右膝关节后交叉韧带止点撕脱性骨折(2 型)
2.右髋关节脱位
3.右胫骨骨折
4.全身多处软组织挫裂伤
手法复位影像片:




右膝MR检查 T2影像片:


右膝MR检查(冠位)T2影像片:








病例小结
PCL胫骨止点撕脱性骨折比较少见, PCL胫骨止点撕脱性骨折是一种特殊类型的后交叉韧带损伤。
损伤分级(Meyers 和 McKeever 分级):
1 型:骨折无移位
2 型:骨折轻度移位,伴撕脱物后部抬高
3 型:骨折断端完全分离
治疗:
1 型撕脱骨折可选用保守治疗。
2 型及以上,或合并其他韧带损伤时,需要关节镜或开放性手术治疗。外科手术介入和修复可以防止关节慢性不稳定性变,以及继发性关节炎。
有移位的PCL胫骨止点撕脱性骨折,应尽早手术复位内固定修复,以达到交叉韧带解剖重建和等长重建, 骨性愈合,恢复膝关节的稳定性
撕脱的骨块一旦移位,非手术治疗一般难以复位,且易发生骨不愈合。
晋城合聚医院骨科 张其川主任:
针对这个病例,患者恢复的很好这是很关键的。但在手术技术中后叉止点我有两点问题:
第一个切口的问题,S型切口是一个标准的切口,是我们常用的很不错。但现在有一种微创的切口,是经后内侧的执行切口,大概五六公分长度,从腓肠肌内侧和筋膜扩张肌之间经半膜肌之间过去,会显露的非常好。
第二个复位的情况个人觉得不是很理想,那么大的骨块如果分离的清楚,应该复位的很好,这个手术技巧为用一个编织线牵拉后叉韧带,同时胫骨骨折这个位置相当好为什么不选择髓内钉呢?如果是我的话,我觉得髓内钉应该更可靠,同时更微创。
绍兴袍江医院骨科 王伟主任:
我认为后叉韧带重建的手术入路创伤是否大了一些?
骨卫士专家委员会副主席 周乙雄教授:
我觉得这个病例处理上挺成功的,从接诊、处理,一直到随访,这个思路比较完整。而且通过这么长时间随访,患者目前恢复情况也是令人满意的。
在考虑患者处理治疗时,应该看一下它的特点,受伤是在同一肢体,右侧髋脱位、右侧的膝关节有损伤,后叉有损伤,另外右侧的胫骨骨折,在严格要求病例的情况下,同一肢体这么严重的损伤,在病例里面除了感觉好以外,应该体现出运动怎么样,尤其是肌肉的力量如何,有没有神经损伤。
处理上,髋关节复位处理还是很到位的,但在膝关节复位上入路的问题,要使患者损伤尽量小 尤其是关节内的骨折。选择内固定剥离会比较少,如果同时在胫骨上打一根髓内针,打一钢板切口很长,对软组织损伤比较多一些。
另外很重要一点髋关节虽然复位了,周围的关节囊血循环究竟怎么样,目前资料来看还是无从判断,但是已经随访了19个月了,髋关节活动的也很好,漆关节活动也很好真是不错。但是为了证实晚期的髋关节股骨头儿究竟会不会有血循环的障碍,最好能有一个核磁的片子。
还有一种情况,如果在基层条件所限,没有这么好的器械及材料,做手术有一定困难,那我们这个病例将如何来处理呢?
中山广济医院骨科 朱崧主任:
患者是外地人,是晚上去钓鱼受伤的,经济比较困难,我们在一期处理完髋关节以后,二期手术是等了几天后才开展的。也为患者介绍了髓内钉固定,但最后选了比较经济实惠的直板。切口问题我是选择了熟悉的入路方式。
骨卫士专家委员会副主席 周乙雄教授:
经过朱崧主任的讲解,我觉得这例患者处理的比较圆满。
对于我们医生来讲,在医疗条件丰富的情况下能够开展的非常优秀。那在条件有限制的情况下,从患者角度考虑,顾及患者经济条件,我们也可以用各种办法来解决患者病痛,我觉得非常好。
绍兴袍江医院骨科 王伟主任:
对于髋关节脱位的患者,我院随访的时间要求达到五年,因为髋关节脱位会不会出现股骨头坏死,需要至少五年时间来观察。如果超过五年没有发生坏死,才会认为比较安全。
中山广济医院骨科 邓丰承主任:
对于髋关节脱位出现股骨头坏死,想请教一下周教授和各位主任,复位之后我们能够做一些什么处理呢,例如牵引多久、多久负重。
骨卫士专家委员会副主席 周乙雄教授:
闭合复位后,关键囊要修复,软组织也要修复,而且它的血液循环也在修复之中,一般要六周到八周。因为髋关节非常重要,就怕发生坏死。它坏死的原因之一就是非常暴力外伤所引起的,另外要避免做不稳定的发生再次脱位的那些危险动作。大家的经验如何?
绍兴袍江医院骨科 王伟主任:
对于髋关节脱位我们术后要求至少要六周。因为创伤以后关节囊内有出血,囊内压力很高,一般需要通过牵引自动六周以上,手术后还不能够过早负重,需要循序渐进负重。
骨卫士专家委员会副主席 周乙雄教授:
我院大概收集了200多例髋臼骨折还有髋臼骨折脱位病例,复位以后软组织恢复需要六周到八周,但是我们认为六周到八周的时间内,不是一点都不活动,但一般不做牵引,在六周以后,可以在床上小范围做屈曲、伸直等安全的动作,另外也可以下床但是不负重,主要是为了患者的关节囊能够恢复,逐步的锻炼范围加大,另外慢慢开始负重。